L’angiografia cerebrale: cos’è, quando si esegue e cosa permette di valutare

L’angiografia cerebrale è un esame diagnostico mininvasivo che consente di visualizzare in modo dettagliato i vasi arteriosi e venosi del cervello.
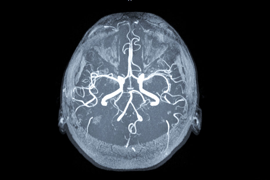
L’angiografia cerebrale
L’angiografia cerebrale, detta anche arteriografia cerebrale, è la metodica di riferimento per lo studio delle patologie cerebrovascolari, in particolare:
- aneurismi;
- malformazioni artero-venose;
- stenosi;
- occlusioni vascolari;
- lesioni emorragiche di origine vascolare.
A differenza di altri esami di imaging, l’angiografia cerebrale permette una mappatura precisa e dinamica della circolazione intracranica, risultando indispensabile sia in fase diagnostica sia nella pianificazione di trattamenti endovascolari.
Esecuzione dell’angiografia cerebrale
L’angiografia cerebrale si esegue in una sala di radiologia interventistica.
Dopo aver disinfettato la cute e somministrato un anestetico locale, viene introdotto un catetere in un’arteria periferica, di solito femorale o radiale, e guidato fino alle arterie del collo che irrorano il cervello (carotidi e vertebrali).
Attraverso il catetere si inietta un mezzo di contrasto iodato, che rende visibili i vasi al passaggio dei raggi X.
Le immagini vengono acquisite in sequenza rapida, in proiezioni multiple e con tecniche digitali (DSA – Digital Subtraction Angiography) che eliminano i dettagli ossei per una visione nitida del sistema vascolare cerebrale.
L’esame dura in genere 30-60 minuti, richiede monitoraggio continuo dei parametri vitali e, una volta concluso, il paziente rimane in osservazione per alcune ore per prevenire eventuali complicanze nel sito di accesso vascolare.
Quando è indicata l’angiografia cerebrale
L’angiografia cerebrale viene richiesta quando si sospettano o devono essere confermate patologie dei vasi cerebrali che non possono essere studiate in modo sufficiente con altre metodiche (come l’angio-RM o l’angio-TC).
Le indicazioni più frequenti sono:
- sospetto o conferma di aneurisma cerebrale;
- studio e classificazione di malformazioni artero-venose (MAV) o fistole durali;
- valutazione di stenosi o occlusioni arteriose cerebrali e cervicali;
- indagini su emorragie subaracnoidee non traumatiche;
- pianificazione preoperatoria di interventi neurochirurgici o endovascolari;
- follow-up di pazienti già trattati con embolizzazione o stent intracranici.
Cosa consente di vedere l’angiografia cerebrale
L’angiografia cerebrale fornisce immagini ad alta risoluzione che mostrano:
- il decorso e il calibro delle arterie cerebrali (carotide interna, cerebrale media, anteriore, posteriore, vertebrale e basilare);
- la presenza di dilatazioni anomale (aneurismi);
- anomalie del circolo venoso cerebrale;
- shunt artero-venosi patologici, tipici di MAV e fistole;
- zone ischemiche o a flusso ridotto, con possibilità di valutazione dinamica del circolo collaterale.
Grazie alla possibilità di iniettare selettivamente il mezzo di contrasto, l’angiografia consente un’analisi localizzata anche su singoli rami vascolari, cosa non possibile con altre metodiche.
Rischi e complicanze dell’angiografia cerebrale
L’angiografia cerebrale è generalmente sicura, ma trattandosi di un esame più invasivo di altre metodiche radiologiche come Tac e RM, comporta alcuni rischi.
Le complicanze sono rare, soprattutto se l’esame viene eseguito in centri specializzati, ma possono includere:
- ematomi o sanguinamenti nel punto di accesso vascolare;
- reazioni allergiche al mezzo di contrasto iodato;
- embolie cerebrali, con possibile rischio di ictus ischemico (molto raro, <1%);
- spasmi vascolari transitori, che possono causare sintomi neurologici passeggeri;
- danni renali in pazienti con insufficienza renale preesistente.
Per ridurre al minimo i rischi, il paziente viene sempre valutato prima con esami del sangue e anamnesi dettagliata.
In alcuni casi, può essere necessaria una premedicazione antiallergica.
Quando si accompagna a un trattamento
In molti casi, l’angiografia cerebrale non è solo diagnostica, ma rappresenta il primo passo per un trattamento endovascolare, chepuò essere immediato se c’è una condizione patologica urgente o pianificato in elezione per condizioni non urgenti.
Alcune procedure che possono essere effettuate con l’angiografia sono:
- embolizzazione di aneurismi cerebrali mediante spirali (coils) o stent;
- chiusura di MAV o fistole arterovenose durali con agenti embolizzanti;
- riapertura di arterie occluse o stenotiche mediante tromboaspirazione o trombolisi in corso di ictus ischemico acuto, o in elezione con posizionamento di uno stent per stenosi di arterie intracraniche, delle carotidi o delle arterie vertebrali
In questo modo, l’angiografia diventa non solo uno strumento diagnostico, ma anche terapeutico, accelerando i tempi di intervento e migliorando la prognosi del paziente.
Quanto stare fermi dopo un’angiografia?
Dopo un’angiografia, il tempo necessario di immobilizzazione dipende principalmente dal tipo di accesso vascolare utilizzato.
Se l’esame si esegue attraverso l’arteria femorale (inguine), è generalmente richiesto di rimanere sdraiati e immobili per almeno 4-6 ore, per permettere una corretta chiusura del vaso e ridurre il rischio di sanguinamenti o ematomi nella sede di puntura.
Se invece l’accesso è avvenuto tramite arteria radiale (polso), la mobilizzazione può avvenire molto prima, spesso già entro 1-2 ore, con un tempo di recupero più rapido. In entrambi i casi, il personale sanitario monitora attentamente il sito di accesso e i parametri vitali.
È importante evitare sforzi fisici per 24-48 ore e seguire le indicazioni fornite al momento della dimissione, soprattutto riguardo ai farmaci e all’eventuale ripresa dell’attività lavorativa.